Un nouvel acronyme : CHAFES
Un nouvel acronyme : CHAFES Les anglosaxons doivent donner un prix pour les acronymes, tellement il y en a ! Voici donc un acronyme de plus : CHAFES. · CRSC…
Un nouvel acronyme : CHAFES Les anglosaxons doivent donner un prix pour les acronymes, tellement il y en a ! Voici donc un acronyme de plus : CHAFES. · CRSC…
Facteurs prédictifs d’inflammation avec le Brolucizumab (Beovu ®) Une équipe japonaise a recherché un moyen d’évaluer le risque de complication inflammatoire du Brolucizumab. La population choisie pour l’étude est une…
LIRE : une étude sur les longs intervalles dans le traitement de la DMLA L’étude LIRE reprend des patients traités par nos anti-VEGF classiques : Lucentis et Eylea 2 mg.…
Pachychoroïdes, une 8è entité Au commencement étaient les Pachychoroïdes Assez simple : la choroïde est épaisse et cela entraîne des anomalies rétiniennes Les plus connues ? la CRSC (choroïdo-rétinopathie séreuse centrale) et…
Pachychoroïdes : une 7è entité Le spectre des Pachychoroïdes recouvre 6 entités : 1- La CRSC (choroïdo-rétinopathie séreuse centrale) 2- L’EPP (épithéliopathie pigmentaire et pachychoroïde) 3- Néovascularisation pachychoroïdienne (NVP) 4- Vasculopathie Polypoïdale…
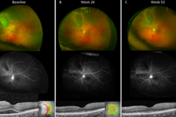
Rétinopathie post-radique : une prise en charge délicate Le constat Dans les tumeurs oculaires traitées par radiothérapie, il y a deux problèmes : Un problème général : les métastases Un problème local…
Peut-on arrêter le traitement des DMLA avancées ? Une étude rétrospective a surveillé 93 yeux de patients DMLA traités par des injections intravitréennes d’anti-VEGF, pour voir l’effet de l’arrêt du traitement.…
La césarienne, pour les forts myopes, on n’y coupe pas ? Cas d’école. Vendredi 23 février. Une patiente fort myope et enceinte vient me consulter car elle est inquiète. Elle doit…
La lumière bleue en questions Le mois dernier, nous avons mis en avant des arguments expliquant l’intérêt des filtres anti-lumière bleue. Poursuivre le débat Pour poursuivre la discussion, et nous…
Lumière sur le bleu Contrairement aux UV, la lumière visible atteint la rétine en quantité importante et ce quel que soit l’âge. La lumière bleue couvre les longueurs d’onde de…