Le soleil et vos yeux
Le soleil et vos yeux Lorsque pointe l’été, nous avons envie de nous balader au soleil. Le soleil a en effet un certain nombre d’effets bénéfiques. La plupart d’entre nous…
Le soleil et vos yeux Lorsque pointe l’été, nous avons envie de nous balader au soleil. Le soleil a en effet un certain nombre d’effets bénéfiques. La plupart d’entre nous…
Noël et nouvel an : attention les yeux ! Paillettes, pommes de pin, guirlandes, neige ou feuilles mortes, bouchons de Champagne et autres produits volants accompagnent les festivités de fin d’année. Mais…
Le danger d’être footballeur américain Explorer les modifications de la rétine et du nerf optique après des traumas crâniens, avec ou sans commotion. Cela a été étudié sur les footballeurs…
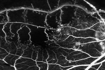
Les enfants avec un diabète de type 2 plus à risque de complications oculaires. Le diagnostic de diabète est de plus en plus fréquent chez les enfants. Une nouvelle étude…
Prévenir les complications oculaires du diabète en 5 étapes Si vous avez un diabète, vous avez un risque accru d’avoir des complications oculaires. Ces complications sont essentiellement : Une rétinopathie diabétique…
La vision du permis de conduire Que doit-on voir pour avoir le droit de conduire ? La vue est un sens très sollicité. Ceci est d’autant plus vrai pour certaines activités…
DMLA : un travail d’équipe La DMLA (Dégénérescence Maculaire Liée à l’Âge) : un problème de santé publique La DMLA touche à des degrés divers plus d’un million de personnes en…
Docteur j’ai une DMLA Un problème de santé publique : La DMLA ou Dégénérescence Maculaire Liée à l’Âge est une maladie de la rétine (la pellicule photo de l’œil) qui touche…
Rétinopathie diabétique Les informations fournies sur ce site sont destinées à améliorer, non à remplacer, la relation directe entre le patient et les professionnels de santé. La rétinopathie diabétique (RD) est une…
Occlusion Veineuse Rétinienne (OVR) Les informations fournies sur ce site sont destinées à améliorer, non à remplacer, la relation directe entre le patient et les professionnels de santé. La rétine reçoit le…